천안황반변성 증상과 치료 방법, 건성 황반변성과 습성 황반변성 차이와 조기 검진이 중요한 이유

천안황반변성에서 나타날 수 있는 초기 증상, 중심 시야 변화와 시력 이상을 통해 질환을 의심할 수 있습니다

건성 황반변성과 습성 황반변성의 차이, 진행 속도와 치료 방법이 달라질 수 있습니다

천안황반변성 진단을 위한 정밀 검사, 망막과 황반 상태를 정확하게 확인하는 과정이 중요합니다

황반변성 치료와 관리 방법, 질환의 형태에 따라 치료 방식이 달라질 수 있습니다

글자가 흐리게 보이거나 중심 시야가 또렷하지 않게 느껴지나요? 황반은 눈의 망막 중심부에 위치하며 우리가 글을 읽거나 사물을 또렷하게 인식하는 중심 시력을 담당하는 부위입니다. 이 부위에 이상이 발생하면 글자가 흐리게 보이거나 초점이 맞지 않는 느낌이 나타날 수 있습니다. 황반변성 초기에는 이러한 증상이 가볍게 느껴질 수 있어 단순한 눈 피로나 노안으로 생각하는 경우도 있지만, 이러한 변화가 반복된다면 황반 기능 이상 여부를 확인하기 위한 정밀 검사가 필요할 수 있습니다.

직선이 휘어 보이거나 사물이 물결처럼 보이는 변시증이 나타나나요? 황반변성 환자에게 나타날 수 있는 대표적인 증상 중 하나가 변시증입니다. 변시증은 실제로는 곧은 선이 휘어 보이거나 울퉁불퉁하게 보이는 시야 왜곡을 의미합니다.이러한 증상은 황반 부위의 구조 변화로 인해 망막 세포가 정상적으로 기능하지 못할 때 나타날 수 있으며, 안저검사나 OCT 검사를 통해 황반 상태를 확인하게 됩니다.

중심 시야에 어두운 점이 생기거나 일부가 비어 보이나요? 황반변성이 진행되면 중심 시야에 어두운 점이 나타나거나 일부가 보이지 않는 중심암점이 발생할 수 있습니다. 이러한 변화는 글을 읽거나 사람 얼굴을 인식하는 데 불편함을 줄 수 있으며, 질환이 진행되면서 점차 확대될 수 있습니다. 따라서 중심 시야에 변화가 느껴진다면 망막 검사를 통해 황반 상태를 확인하는 것이 중요합니다.

건성 황반변성은 망막 아래 노폐물이 축적되면서 서서히 진행되는 형태입니다 건성 황반변성은 황반 아래에 드루젠이라고 불리는 노폐물이 쌓이면서 발생하는 경우가 많습니다. 전체 황반변성 환자의 대부분을 차지하며 비교적 천천히 진행되는 특징이 있습니다.이 경우에는 정기적인 안과 검사와 함께 루테인, 지아잔틴 등의 항산화 영양제를 통한 관리가 도움이 될 수 있습니다.

습성 황반변성은 신생혈관이 발생하면서 시력이 빠르게 저하될 수 있습니다 습성 황반변성은 망막 아래에서 비정상적인 신생혈관이 발생하면서 출혈이나 삼출물이 생기는 형태입니다. 이로 인해 시력이 비교적 짧은 시간 안에 빠르게 저하될 수 있어 조기 발견과 치료가 중요합니다. 일반적으로 습성 황반변성의 경우 항VEGF 항체주사 치료가 시행될 수 있습니다.

안저검사를 통해 망막과 황반의 전반적인 상태를 확인합니다 안저검사는 눈 안쪽 망막 상태를 확인하는 기본 검사로 황반의 이상 여부와 망막 변화를 확인하는 데 사용됩니다. 이 검사를 통해 드루젠의 존재 여부나 망막 구조 변화를 확인할 수 있습니다.

빛간섭단층촬영(OCT) 검사를 통해 황반 구조 변화를 정밀하게 확인할 수 있습니다 OCT 검사는 망막의 단면 구조를 확인할 수 있는 검사로 황반 부위의 두께 변화나 신생혈관 발생 여부를 확인하는 데 도움이 됩니다. 황반변성의 진단과 경과 관찰에 중요한 역할을 합니다.

형광안저혈관조영검사를 통해 신생혈관 발생 여부를 확인하기도 합니다 필요한 경우 형광안저혈관조영검사를 통해 망막 혈관 상태와 비정상적인 신생혈관 형성 여부를 확인할 수 있습니다. 이 검사는 습성 황반변성을 판단하는 데 도움을 줄 수 있습니다.

건성 황반변성은 영양 관리와 정기적인 검사를 통한 관리가 중요합니다 건성 황반변성의 경우 진행 속도가 비교적 느린 경우가 많아 정기적인 안과 검사와 함께 눈 건강 관리가 중요합니다. 항산화 성분이 포함된 영양제 복용과 생활습관 관리가 도움이 될 수 있습니다.

습성 황반변성은 항VEGF 항체주사 치료가 시행될 수 있습니다 습성 황반변성의 경우 비정상적인 신생혈관의 성장을 억제하기 위해 항VEGF 항체주사 치료가 시행될 수 있습니다. 치료는 환자의 상태에 따라 일정 간격으로 반복 시행될 수 있으며 정기적인 경과 관찰이 중요합니다.

정기적인 검사와 경과 관찰을 통해 황반변성 진행을 관리합니다 황반변성은 완치보다는 질환 진행을 관리하는 개념으로 접근하는 경우가 많습니다. 정기적인 검사를 통해 황반 상태를 확인하고 필요에 따라 치료 계획을 조정하는 과정이 중요합니다.

김이태안과
당뇨망막증
황반변성
망막혈관폐쇄증
망막전막
유리체출혈
황반원공
중심성장액망막병증
망막박리
백내장
소아근시억제
안구건조증
공지사항

kimsretina
EYE CLINIC

  • 김이태안과

  • 당뇨망막증

  • 황반변성

  • 망막혈관폐쇄증

  • 망막전막

  • 유리체출혈

  • 황반원공

  • 중심성장액망막병증

  • 망막박리

  • 백내장

  • 소아근시억제

  • 안구건조증

  • 공지사항

카톡상담
상담신청
상담전화
오시는 길

KIM’S RETINA CLINIC

황반변성

김이태 망막 클리닉

시세포들이 밀집되어 있어 주요 시력을
담당하는 망막 중심부의 노란색 부위

KIM’S RETINA CLINIC

최고의 의료진이 최선을 다하는 김이태안과 입니다.

황반변성

노화나 유전적 요인 등으로 인해 변성되는 것을 황반변성이라고 하는데, 황반에 변성이 생기면 기능이
떨어지면서 시력이 감소하며, 심한 경우 실명을 유발할 수 있는 질환입니다.

황반변성 주사 전

황반변성 주사 후

황반변성 자가진단

암슬러 격자 자가진단

  • 평소 착용하던 안경이나 렌즈를 착용한 상태로 격자를 응시한다.
  • 30cm 정도 떨어져서 한쪽 눈을 가린 채 둥근 점을 응시한다.
  • 중앙의 시선을 고정한 후 선들이 어떻게 보이는지 기억한다.
  • 반대편도 같은 방법으로 검사한다.

아래와 같은 증상이 하나라도 있다면 가까운 병원에 내원하시길 바랍니다.

01

사물의 형태를 구별하기
어려워진다.

02

사물이 휘어지거나
찌그러져 보인다.

03

시야의 중심이 검거나
공백이 있다.

04

글을 읽을 때
글자에 공백이 생긴다.

05

색, 명암 구별이
어려워진다.

황반변성 치료

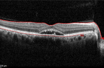
안저촬영 및 빛간섭단층촬영에서 보이는 건성 황반변성

망막에 드루젠이라는 지성 노폐물이 쌓이면 정상적으로 황반에 시상이
맺히는 것을 방해해 건성 황반변성으로 악화됩니다.

항산화제 복용, 금연, 자외선 노출 방지 등 악화를 최소화하는 예방법이 필요합니다.

안저촬영 및 빛간섭단층촬영에서 보이는 습성 황반변성

망막 아래 맥락막에서 새로운 혈관이 생겨 출혈이나 삼출물이 나오게 되면
습성 황반변성이 됩니다.

레이저 광응고술, 광역학요법 등을 이용한 치료가 필요합니다.

황반변성을 예방하기 위해서는 안구보호를 위한 선글라스 착용 및
규칙적인 운동을 통해 심혈관 질환을 예방하는 것도 중요합니다.

고혈압 체크

당뇨병 예방

체중 관리

식생활 개선

고지혈증 예방

금연